Articolo del 19.08.22

Michael Palmer, MD e Sucharit Bhakdi, MD
doctor4covidethics.org
Questo articolo riassume le prove da studi sperimentali e da autopsie di pazienti deceduti dopo la vaccinazione. I risultati collettivi lo dimostrano
I vaccini a mRNA non rimangono nel sito di iniezione ma viaggiano in tutto il corpo e si accumulano in vari organi,
I vaccini COVID a base di mRNA inducono un’espressione di lunga durata della proteina spike SARS-CoV-2 in molti organi,
l’espressione indotta dal vaccino della proteina spike induce infiammazione simil-autoimmune,
l’infiammazione indotta dal vaccino può causare gravi danni d’organo, specialmente nei vasi, talvolta con esito mortale.
Notiamo che il meccanismo di danno che emerge dagli studi autoptici non è limitato solo ai vaccini COVID-19 ma è del tutto generale: ci si deve aspettare che si verifichi in modo simile con i vaccini a mRNA contro tutti i patogeni infettivi. Questa tecnologia ha fallito e deve essere abbandonata.
Mentre le segnalazioni di casi clinici (ad es. [ 1 , 2 ] ) e le analisi statistiche di segnalazioni di eventi avversi accumulate (ad es. [ 3 , 4 ] ) forniscono prove preziose del danno indotto dai vaccini COVID-19 a base di mRNA, è importante stabilire un rapporto causale relazione nei singoli casi. La patologia rimane il gold standard per la prova della causalità della malattia. Questo breve documento discuterà alcuni risultati chiave sui materiali dell’autopsia di pazienti deceduti da pochi giorni a diversi mesi dopo la vaccinazione. Per il contesto, vengono brevemente discussi anche alcuni studi sperimentali.
La maggior parte delle prove presentate qui proviene dal lavoro del patologo Prof. Arne Burkhardt, MD
Il dottor Burkhardt è stato avvicinato dalle famiglie dei pazienti deceduti dopo la “vaccinazione”
I materiali dell’autopsia sono stati esaminati mediante istopatologia standard e immunoistochimica
Sulla base dei risultati, la maggior parte dei decessi è stata attribuita alla “vaccinazione” con un grado di probabilità da alto a molto alto
Il Prof. Burkhardt è un patologo molto esperto di Reutlingen, Germania. Con l’aiuto del suo collega Prof. Walter Lang, ha studiato numerosi casi di morte avvenuti da pochi giorni a diversi mesi dopo la vaccinazione. In ciascuno di questi casi, la causa della morte era stata certificata come “naturale” o “sconosciuta”. Burkhardt è stato coinvolto solo perché le famiglie in lutto dubitavano di questi verdetti e cercavano una seconda opinione. È notevole, quindi, che Burkhardt abbia scoperto che non solo alcuni, ma la maggior parte di questi decessi erano dovuti alla vaccinazione.
Mentre tutti e quattro i principali produttori di vaccini basati sui geni erano rappresentati nel campione di pazienti studiato da Burkhardt e Lang, la maggior parte dei pazienti aveva ricevuto un vaccino a mRNA da Pfizer o Moderna. Alcuni dei pazienti deceduti avevano ricevuto sia vaccini a base di mRNA che basati su vettori virali in occasioni separate.

2. Gli esperimenti sugli animali di Pfizer mostrano che il vaccino si distribuisce rapidamente in tutto il corpo

Per causare danni potenzialmente letali, i vaccini a mRNA devono prima essere distribuiti dal sito di iniezione ad altri organi. Che tale distribuzione avvenga è evidente dagli esperimenti sugli animali riportati da Pfizer alle autorità giapponesi con la sua richiesta di approvazione del vaccino in quel paese [ 5 ] . Ai ratti è stato iniettato per via intramuscolare un vaccino a mRNA modello marcato radioattivamente e il movimento del radiomarcato prima nel flusso sanguigno e successivamente in vari organi è stato seguito per un massimo di 48 ore.
La prima cosa da notare è che il vaccino etichettato si presenta nel plasma sanguigno dopo un tempo molto breve, entro solo un quarto d’ora. Il livello plasmatico raggiunge il picco due ore dopo l’iniezione. Man mano che diminuisce, il vaccino modello si accumula in molti altri organi. L’aumento più veloce e più alto si osserva nel fegato e nella milza. Si osserva anche un assorbimento molto elevato nelle ovaie e nelle ghiandole surrenali. Altri organi (compresi i testicoli) assorbono livelli significativamente più bassi del vaccino modello. Notiamo, tuttavia, che almeno i vasi sanguigni saranno esposti e colpiti in ogni organo e in ogni tessuto.
La rapida e diffusa distribuzione del vaccino modello implica che dobbiamo aspettarci l’espressione della proteina spike in tutto il corpo. Per una discussione più approfondita di questo studio sulla biodistribuzione, vedere Palmer2021b.
3. L’espressione delle proteine virali può essere rilevata con l’immunoistochimica

Mentre la distribuzione del vaccino modello ci porta ad aspettarci un’espressione diffusa della proteina spike, siamo qui dopo una solida prova. Tale prova può essere ottenuta utilizzando l’immunoistochimica , il cui metodo è illustrato in questa diapositiva per la proteina spike codificata dal vaccino.
Se una particella di vaccino, composta dall’mRNA codificante per la punta, rivestita di lipidi, entra in una cellula del corpo, ciò causerà la sintesi della proteina della punta all’interno della cellula e quindi il suo trasporto sulla superficie cellulare. Lì, può essere riconosciuto da un anticorpo specifico per la punta. Dopo aver lavato il campione di tessuto per rimuovere le molecole anticorpali non legate, quelle legate possono essere rilevate con un anticorpo secondario accoppiato con un enzima, spesso perossidasi di rafano. Dopo un’altra fase di lavaggio, il campione viene incubato con un colorante precursore idrosolubile che viene convertito dall’enzima in un pigmento marrone insolubile. Ogni molecola di enzima può convertire rapidamente un gran numero di molecole di colorante, il che amplifica notevolmente il segnale.
In alto a destra dell’immagine si possono vedere due cellule che sono state esposte al vaccino Pfizer e poi sottoposte al protocollo sopra delineato. L’intensa colorazione marrone indica che le cellule stavano effettivamente producendo la proteina spike.
In breve, ovunque si depositi il pigmento marrone, l’antigene originale, in questo esempio la proteina spike, doveva essere presente. L’immunoistochimica è ampiamente utilizzata non solo in patologia clinica ma anche nella ricerca; avrebbe potuto facilmente essere utilizzato per rilevare l’espressione diffusa della proteina spike negli studi sugli animali durante lo sviluppo preclinico. Tuttavia, sembra che la FDA e altri regolatori non abbiano mai ricevuto o richiesto tali dati sperimentali [ 6 ] .
4. Espressione della proteina spike nel muscolo della spalla dopo l’iniezione del vaccino

Questa diapositiva (del Dr. Burkhardt) mostra le fibre muscolari deltoide in sezione trasversale. Diverse (ma non tutte) le fibre mostrano una forte pigmentazione marrone, indicando ancora una volta l’espressione della proteina spike.
Sebbene l’espressione della proteina spike vicino al sito di iniezione sia ovviamente prevista e altamente suggestiva, vorremmo assicurarci che tale espressione sia effettivamente causata dal vaccino e non da un’infezione concomitante con il virus SARS-CoV-2. Ciò è particolarmente importante rispetto ad altri tessuti e organi che si trovano lontano dal sito di iniezione.
5. Le particelle di coronavirus contengono due proteine prominenti: punta (S) e nucleocapside (N)

Per distinguere tra infezione e iniezione, possiamo usare ancora l’immunoistochimica, ma questa volta applicarla a un’altra proteina SARS-CoV-2, vale a dire il nucleocapside, che si trova all’interno della particella virale, dove avvolge e protegge il genoma dell’RNA. La logica di questo esperimento è semplice: le cellule infettate dal virus esprimeranno tutte le proteine virali, compreso lo spike e il nucleocapside. Al contrario, i vaccini COVID basati su mRNA (così come quelli basati su vettori di adenovirus prodotti da AstraZeneca e Janssen) indurranno solo l’espressione del picco.
6. Le persone infette esprimono la proteina nucleocapside (e anche la proteina spike)

Questa diapositiva illustra semplicemente che il metodo funziona: il tessuto polmonare o le cellule di un tampone nasale di una persona infetta da SARS-CoV-2 si colorano positive per l’espressione del nucleocapside, mentre le cellule in coltura esposte al vaccino non lo fanno (ma si colorano fortemente positive per il proteina spike; vedere il riquadro in alto a destra della diapositiva 3 ).
7. Le persone iniettate esprimono solo la proteina spike, che implica il vaccino
Qui, vediamo l’immunoistochimica applicata al tessuto del muscolo cardiaco di una persona iniettata. La colorazione per la presenza della proteina spike provoca un forte deposito di pigmento marrone. Al contrario, si osserva solo una colorazione molto debole e non specifica con l’anticorpo che riconosce la proteina nucleocapside. L’assenza di nucleocapside indica che l’espressione della proteina spike deve essere attribuita al vaccino piuttosto che a un’infezione da SARS-CoV-2.
Vedremo tra breve che la forte espressione della proteina spike nel muscolo cardiaco dopo la vaccinazione è correlata a una significativa infiammazione e distruzione dei tessuti.
8. Espressione della proteina spike all’interno delle pareti dei piccoli vasi sanguigni

Vediamo l’espressione della proteina spike nelle arteriole (piccole arterie; a sinistra) così come nelle venule (piccole vene) e nei capillari (a destra). L’espressione è più prominente nello strato cellulare più interno, l’ endotelio . Questo rende le cellule endoteliali “anatre sedute” per un attacco da parte del sistema immunitario.
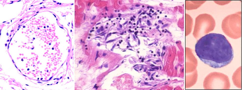
9. Stripping endoteliale e distruzione di un piccolo vaso sanguigno dopo la vaccinazione

Passiamo ora all’evidenza dell’attacco immunitario alle cellule endoteliali che producono la proteina spike. A sinistra, una venula normale, delimitata da un endotelio intatto e contenente all’interno alcuni globuli rossi e pochi globuli bianchi (colorati in blu).
L’immagine al centro mostra una venula che viene attaccata e distrutta dal sistema immunitario. Il contorno si sta già dissolvendo e le cellule endoteliali a forma di fuso (e gonfie) si sono staccate dalla parete del vaso. Inoltre, vediamo i linfociti, le piccole cellule con nuclei scuri e rotondi e con pochissimo citoplasma attorno a loro; un singolo linfocita (a un ingrandimento molto più elevato) è mostrato sulla destra.
I linfociti sono la spina dorsale del sistema immunitario specifico: ogni volta che gli antigeni vengono riconosciuti e gli anticorpi vengono prodotti, ciò viene fatto dai linfociti. Anche tra i linfociti troviamo le cellule T citotossiche e le cellule natural killer, che servono a uccidere le cellule infettate dal virus, o che le sembrano infette, perché sono state costrette a produrre una proteina virale da un cosiddetto vaccino.
Una funzione cruciale dell’endotelio è prevenire la coagulazione del sangue. Pertanto, se l’endotelio è danneggiato, come in questa immagine, ei tessuti al di là di esso entrano in contatto con il sangue, ciò attiverà automaticamente la coagulazione del sangue.
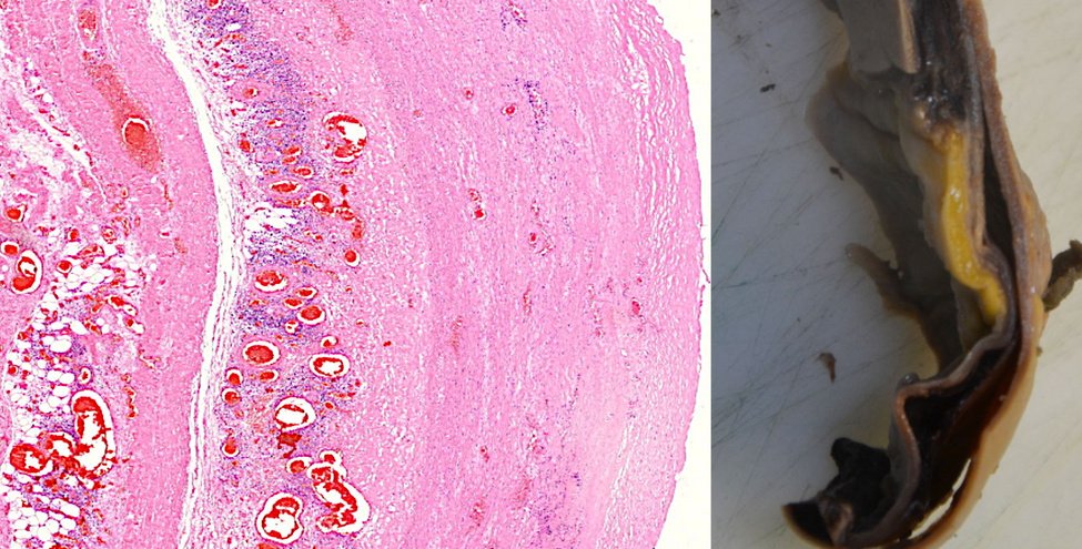
10. Una crepa nella parete dell’aorta, fiancheggiata da grappoli di linfociti, che porta alla rottura dell’aorta

A sinistra, una sezione attraverso la parete di un’aorta. Questa foto è stata scattata con un ingrandimento ancora inferiore rispetto a quella precedente; i linfociti ora appaiono solo come una nuvola di minuscoli granelli blu. A sinistra di questa nuvola blu, vediamo una crepa verticale che attraversa il tessuto. Tale crepa è anche visibile macroscopicamente nel campione asportato di un’aorta mostrato a destra.
L’aorta è il più grande vaso sanguigno del corpo. Riceve il sangue altamente pressurizzato espulso dal ventricolo sinistro del cuore ed è quindi esposto a un intenso stress meccanico. Se la parete dell’aorta è indebolita dall’infiammazione, come in questo caso, potrebbe rompersi e rompersi. La rottura aortica è normalmente piuttosto rara, ma il Prof. Burkhardt ha riscontrato più casi nel suo numero limitato di autopsie. È stato anche dimostrato che alcune delle aorte colpite esprimevano la proteina spike.
11. Tessuto muscolare cardiaco sano e miocardite linfocitica

Nella diapositiva 7 , abbiamo visto che le cellule del muscolo cardiaco esprimevano fortemente la proteina spike dopo l’iniezione del vaccino. Qui vediamo le conseguenze. L’immagine mostra un campione di tessuto muscolare cardiaco sano, con fibre muscolari cardiache regolarmente orientate e allineate. A destra, vediamo un campione di muscolo cardiaco da una delle autopsie. Le fibre muscolari sono disgiunte e disintegrate e sono circondate da linfociti invasori. Burkhardt ha riscontrato miocardite in molti dei suoi pazienti deceduti.
12. Infiltrazione linfocitica e infiammazione proliferativa nel tessuto polmonare

A sinistra, vediamo tessuto polmonare sano, con spazi pieni d’aria (gli alveoli), delimitati da delicati setti alveolari con capillari pieni di sangue. Vediamo anche alcuni vasi sanguigni più grandi.
Sul lato destro, vediamo il tessuto polmonare invaso dai linfociti. Gli spazi pieni d’aria sono in gran parte scomparsi e sono stati riempiti di tessuto cicatriziale (connettivo). Questo paziente a cui è stato iniettato il vaccino avrebbe ovviamente avuto grossi problemi a respirare.
L’infiltrazione linfocitica, l’infiammazione e la distruzione sono state osservate anche in molti altri organi, tra cui cervello, fegato, milza e ghiandole multiple. Tuttavia, invece di illustrarli tutti, concluderemo l’evidenza patologica con un altro risultato immunoistochimico, che mostra in modo sorprendente la lunga durata dell’espressione della proteina spike.

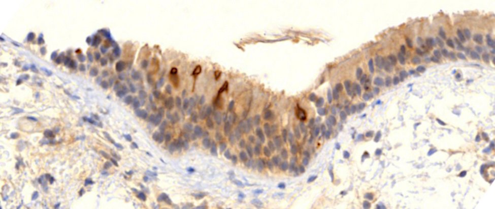
La diapositiva mostra un campione di mucosa bronchiale, di un paziente che è vivo ma ha sofferto di sintomi respiratori da quando è stato vaccinato. Vediamo diverse cellule nello strato cellulare superiore che esprimono fortemente la proteina spike, e questo anche nove mesi dopo la sua più recente iniezione di vaccino! Sebbene questo sia davvero il caso più estremo di espressione di lunga durata, ci sono prove sia dalle autopsie di Burkhardt che da studi pubblicati su campioni di sangue [ 7 ] o biopsie linfonodali [ 8 ] per indicare che l’espressione dura diversi mesi.
14. L’mRNA del vaccino Pfizer viene copiato (“trascritto al contrario”) nel DNA e inserito nel genoma cellulare

La narrativa ufficiale del vaccino mRNA sostiene che l’mRNA modificato contenuto nel vaccino non sarà replicato in vivo; l’espressione della proteina spike dovrebbe quindi cessare una volta che le molecole di RNA iniettate sono state degradate.
I limitati studi sperimentali disponibili [ 9 , 10 ] suggeriscono che l’mRNA modificato iniettato dovrebbe essere degradato entro pochi giorni o poche settimane dall’iniezione. Questo è ovviamente difficile da quadrare con l’espressione di lunga durata osservata; in una forma o nell’altra, l’informazione genetica sembra essere perpetuata in vivo.
Un recente studio sperimentale dalla Svezia [ 11 ] ha dimostrato che le cellule di derivazione umana possono copiare il vaccino a mRNA di Pfizer nel DNA e quindi inserirlo nel proprio DNA cromosomico. L’immagine mostra le prove chiave di questo studio. Le cellule sono state esposte al vaccino per i periodi di tempo indicati. Il DNA cellulare è stato quindi isolato e sono state inserite copie di DNA dell’mRNA del vaccino rilevato mediante amplificazione PCR di un frammento di 444 paia di basi (bp) di lunghezza.
Tutti i campioni etichettati con “BNT” erano stati trattati con il vaccino e tutti mostrano un prodotto PCR della lunghezza prevista, come risulta evidente dal confronto con uno standard di lunghezza del frammento di DNA (“L”). I campioni etichettati con “Ctrl n ” erano controlli: Ctrl 1–4 conteneva DNA da cellule non incubate con vaccino, Ctrl 5 conteneva RNA (non DNA) da cellule trattate con vaccino; Ctrl 6 conteneva lo stesso ma è stato inoltre trattato con RNAse, il quale passaggio è stato eseguito anche nella purificazione dei campioni di DNA. Come previsto, nessuno dei campioni di controllo contiene il prodotto PCR.
Considerando l’osservazione di Aldén dell’inserzione del DNA in ogni singolo campione sperimentale, sembra altamente probabile che ciò avvenga anche in vivo. Oltre a fornire un meccanismo plausibile per perpetuare l’espressione della proteina spike, l’inserimento del DNA pone anche rischi di danno genetico, portando a tumori e leucemie
15. Sommario
Le prove qui presentate dimostrano chiaramente una catena di causalità dall’iniezione del vaccino a
rapida distribuzione del vaccino attraverso il flusso sanguigno,
espressione diffusa della proteina spike, in modo prominente nei vasi sanguigni, e
infiammazione autoimmune e danno d’organo.
Il danno vascolare indotto dal vaccino promuoverà la coagulazione del sangue e le malattie correlate alla coagulazione come infarto, ictus ed embolia polmonare sono molto comuni nei database degli eventi avversi [ 4 , 12 ] .
Oltre all’infiammazione di tipo autoimmune, altri meccanismi patologici, tra cui la degenerazione del SNC mediata da prioni [ 13 ] , la deposizione aberrante di proteine vascolari (amiloidosi) [ 14 , 15 ] e la tossicità delle nanoparticelle lipidiche [ 16 ] , sono plausibili ma richiedono ulteriori studi e conferma. Nel complesso, questi vaccini non possono più essere considerati sperimentali:
l’ “esperimento” ha portato al disastro che molti medici e scienziati avevano previsto fin dall’inizio [ 17 ] . La vaccinazione deve essere interrotta e tutte le approvazioni e le autorizzazioni al loro uso devono essere revocate.
Riferimenti
1. Bozkurt, B. et al. (2021) Miocardite con vaccini mRNA COVID-19 . Circulation 144:471-484
2. Ehrlich, P. et al. (2021) Miocardite linfocitica comprovata da biopsia dopo la prima vaccinazione mRNA COVID-19 in un maschio di 40 anni: caso clinico . Ricerca clinica nella rivista ufficiale di cardiologia della German Cardiac Society 110:1855-1859
3. Rose, J. e McCullough, PA (2021) Un rapporto sugli eventi avversi della miocardite nel sistema di segnalazione degli eventi avversi da vaccino degli Stati Uniti (VAERS) in associazione con prodotti biologici iniettabili COVID-19 . Problemi attuali in cardiologia p. 101011
4. Shilhavy, B. (2022) 43.898 morti, 4.190.493 danneggiati a seguito di vaccini COVID nel database europeo delle reazioni avverse .
5. Anonimo, (2020) SARS-CoV-2 mRNA Vaccine (BNT162, PF-07302048) 2.6.4 Dichiarazione riassuntiva dello studio di farmacocinetica [traduzione inglese] .
6. Latyopva, A. (2022) Pfizer ha eseguito test di sicurezza adeguati per il suo vaccino mRNA Covid-19 negli studi preclinici? Prove di frode scientifica e normativa .
7. Bansal, S. et al. (2021) All’avanguardia: gli esosomi circolanti con la proteina Spike COVID sono indotti dalla vaccinazione BNT162b2 (Pfizer-BioNTech) prima dello sviluppo di anticorpi: un nuovo meccanismo per l’attivazione immunitaria da parte dei vaccini mRNA . J. Immunol. 207:2405-2410
8. Röltgen, K. et al. (2022) Imprinting immunitario, ampiezza del riconoscimento delle varianti e risposta del centro germinale nell’infezione e nella vaccinazione umane da SARS-CoV-2 . Cell preprint
9. Andries, O. et al. (2015) L’mRNA incorporato nella N 1 -metilpseudouridina supera l’mRNA incorporato nella pseudouridina fornendo un’espressione proteica potenziata e una ridotta immunogenicità nelle linee cellulari e nei topi dei mammiferi . J. Control Release 217:337-344
10. Pardi, N. et al. (2018) I vaccini mRNA modificati con nucleosidi inducono un potente helper follicolare T e risposte delle cellule B del centro germinale . J. Esp. Med. 215:1571-1588
11. Aldén, M. et al. (2022) Trascrizione inversa intracellulare del vaccino mRNA BNT162b2 di Pfizer BioNTech COVID-19 in vitro nella linea cellulare di fegato umano . Corr. Problemi Mol. Biol. 44:1115-1126
12. Anonimo, (2021) OpenVAERS .
13. Perez, JC et al. (2022) Verso l’emergere di una nuova forma della malattia neurodegenerativa di Creutzfeldt-Jakob: ventisei casi di CJD dichiarati pochi giorni dopo un “vaccino” COVID-19 Jab . ResearchGate (preprint)
14. Charley, M. et al. (2022) Peptidi amiloidogenici neurotossici nel proteoma di SARS-COV2: potenziali implicazioni per i sintomi neurologici in COVID-19 . Nat. Commun. 13:3387
15. Nyström, S. e Hammarström, P. (2022) Amiloidogenesi della proteina Spike SARS-CoV-2 . J. M. Chem. soc. 144:8945-8950
16. Palmer, M. e Bhakdi, S. (2021) Il vaccino mRNA Pfizer: farmacocinetica e tossicità .
17. Bhakdi, S. et al. (2021) Lettera aperta urgente di medici e scienziati all’Agenzia europea per i medicinali in merito alle preoccupazioni sulla sicurezza del vaccino COVID-19 .
Ci trovi su Telegram e Twitter

