Una raccolta di studi, ricerche e documenti a supporto della verita’

Non solo gli studi di Pfizer erano una truffa, ma la FDA li ha approvati consapevolmente, mettendo a rischio milioni di persone. Questo rapporto mostrerà come le autopsie dimostreranno che i vaccini Covid-19 stanno effettivamente uccidendo persone sane, come i lotti letali sono stati rilasciati apposta e forniscono uno strumento incredibile per mostrare la frode dei processi Pfizer e la negligenza della FDA, in modo che le persone lo faranno essere armato con alcuni dei dati più importanti ancora per combattere questa tirannia.
- L’ex scienziato senior Pfizer Dr. Mike Yeadon, ha confermato che il 90% degli effetti collaterali del vaccino proveniva da meno del 10% dei lotti, il che è stato documentato e calcolato direttamente dal VAERS del CDC e significa che i lotti non contengono gli stessi ingredienti. Questa è una solida prova di errore intenzionale e la più grande prova finora.
- I decessi per vaccinazioni Covid non vengono ricondotti ai coroner. Le morti non sono nemmeno messe in discussione o documentate come causate da iniezioni di Covid. Un medico legale statunitense si è preso il tempo di rintracciare tre decessi tra i 30 e i 50 anni che sono morti per la vaccinazione Covid e le autopsie lo confermano.
- Gli esami autoptici del massimo patologo tedesco Dr. Arne Burkhardt mostra chiaramente che tutti i vaccini basati sui geni, indipendentemente dal produttore, producono lo stesso risultato nei soggetti vaccinati. Nel 90% degli organi di queste persone ha riscontrato un autoattacco autoimmune da parte dei linfociti killer sul tessuto. I principali sono il cuore, i polmoni, poi altri tessuti come il fegato, ecc. Bhakdi conferma che questi vaccini stanno uccidendo persone giovani e meno giovani.
- In uno stato centrale degli Stati Uniti, il numero totale di decessi non ha oscillato tra il 2015 e il 2019. Nel 2020, il numero di decessi è aumentato del 15% e DOPO che oltre il 62% degli americani ha ricevuto il vaccino nel 2021, il numero totale di decessi è aumentato di un enorme 12%, rispetto al 15% del 2020.
- Pfizer ha pagato oltre $ 10 miliardi di multe per false affermazioni, corruzione di medici, manipolazione di studi e decessi per droga nella sua storia – e i suoi studi sul Covid-19 sono stati una frode completa. La Covid Care Alliance canadese ha messo insieme una brillante presentazione video che scompone tutto questo e fornisce un PDF illustrativo per aiutare.
- Pfizer ha affermato che i vaccini erano sicuri e hanno mostrato un’efficacia del 95% 7 giorni dopo la seconda dose. Ma quel 95% era in realtà una riduzione del rischio relativo. La riduzione assoluta del rischio è stata solo dello 0,84%.
- Un giudice federale ha negato la richiesta della FDA di nascondere al pubblico i documenti della Pfizer. Invece dei 75 anni richiesti dalla FDA per presentare tutti i documenti presentati da Pfizer per l’approvazione del Covid-19, il giudice ha disposto la declassificazione di 55.000 pagine al mese, che dovrebbero essere completate entro 9 mesi.
- Il direttore del CDC riconosce che il 75% di tutti i decessi correlati al Covid ha almeno quattro comorbidità e che la vaccinazione non impedisce la trasmissione.
- Secondo il sistema di segnalazione VAERS del CDC, in meno di un anno sono morte più persone a causa del vaccino Covid rispetto a tutti gli altri vaccini combinati e non l’hanno ancora gradualmente eliminato.
Le autopsie rivelano morti per vaccinazioni Covid nonostante i tentativi di annullare questi risultati
Ho parlato con un medico legale con cui sono in contatto da due anni per avere un’idea di cosa vedono nelle autopsie, come viene gestito il monitoraggio dei decessi del vaccino Covid e come vengono preparati i certificati di morte. È stata una conversazione piuttosto istruttiva che conteneva molto di ciò che sospettavo.
Il sistema ha un grosso difetto. Non è progettato per catturare i “danni da vaccinazione” per diversi motivi:
1. In molti casi, nel caso di ospizi e case di cura, il medico legale deve rinunciare alla giurisdizione, il che significa che il medico legale non vede mai le cartelle cliniche ma deve comunque firmare i certificati di morte.
2. Ci sono investigatori nell’ufficio del medico legale che contatteranno le strutture dove è avvenuto il decesso e chi risponderà alla chiamata fornirà solo un breve resoconto delle precedenti diagnosi mediche del defunto – e questi investigatori non osano chiedere del “vaccino”. Se un paziente era malato di Covid al momento della morte, questo si aggiunge, ma non si parla mai di complicazioni dopo la vaccinazione. Quindi, quando i documenti vengono presentati al medico legale per la firma, non c’è modo per il medico legale di sapere se la persona è stata vaccinata.
3. Per decessi al di fuori delle case di cura e degli hospice, ad es. Ad esempio, negli ospedali o nelle case di riposo, molte famiglie non considerano nemmeno di menzionare che la persona amata è stata vaccinata di recente perché ritengono che sia sicura.
4. Ad essere onesti, niente di tutto ciò mi sorprende. Di recente ho parlato con una persona responsabile della raccolta di segnalazioni di eventi avversi in una vasta rete di ospedali. Tuttavia, tutti i casi relativi alla morte sono stati conservati dai supervisori e solo gli eventi avversi sono stati inoltrati per la registrazione. Immagino che questo sia il caso per la maggior parte delle reti. Ma tutto si è fermato quando, all’inizio di novembre, a quella persona è stato ordinato di smettere di inserire i dati, senza alcuna spiegazione. Quanti altri ospedali e reti hanno ricevuto le stesse istruzioni e i decessi vengono segnalati?
In che modo controllano i rapporti e si impegnano nella propaganda per incitare alla paura? Un esempio perfetto è l’ articolo del Times of Israel pubblicato il 10 gennaio 2022 con il titolo “Primo caso di infiammazione cardiaca in Israele associata a infezione da Omicron”. Diceva che “un uomo di 43 anni precedentemente sano che ha ricevuto un’iniezione di richiamo ad agosto è stato ricoverato in terapia intensiva a Tel Hashomer; i medici lo definiscono uno sviluppo preoccupante”.Ma la “preoccupazione” riguarda la presunta variante Omicron, non il vaccino Covid. dott Shlomi Matetzky, capo della terapia intensiva presso lo Sheba Medical Center (Tel Hashomer Hospital), ha detto a Channel 12 News dell’uomo in cura per la miocardite, affermando: “Questa è la prima volta che lo vediamo all’Omicron. Questo è uno sviluppo preoccupante su cui dobbiamo riflettere”.
Questo ignora completamente il fatto che l’uomo abbia ricevuto le vaccinazioni e il richiamo, ma lancia immediatamente l’allarme che la causa sia Omicron. Israele è il primo paese al mondo a introdurre un quarto booster. Molti, tra cui Corey’s Digs, hanno da tempo avvertito che stanno creando false varianti e affermando quanto siano letali per oscurare la storia di coloro che muoiono effettivamente a causa del vaccino Covid stesso. Purtroppo, ora stiamo assistendo a tutto ciò che accade in tempo reale.
Allora come diffondere questa propaganda? Una ricerca di 60 secondi “accidentalmente” mostra che Bill Gates è affiliato allo Sheba Medical Center in Israele attraverso investimenti congiunti . È coperto? Affatto. Quando capisci la portata, la trazione e il controllo che questi globalisti d’élite hanno per coordinare tale propaganda, questo tipo di connessione diventa molto rilevante, specialmente quando il loro resoconto falso e sfidante la scienza è ciò che sta uscendo da questo ospedale.
Il numero dei decessi è aumentato notevolmente ed è chiaro che la vaccinazione Covid sta avendo un impatto
1. Tra il 2015 e il 2019, il numero totale di decessi in quella specifica località è rimasto costante ogni anno, con differenze minime, tutte dovute a cause diverse. Nel 2020, l’anno in cui ha colpito il Covid, il numero totale dei decessi è aumentato del 15%. Nel 2021, dopo che il 62% degli Stati Uniti aveva ricevuto il vaccino Covid ed era stato “completamente vaccinato”, è stato registrato un ulteriore aumento del 12% rispetto al 2020. Questo è significativo, soprattutto quando la FDA e il CDC insistono che i vaccini prevengano i decessi.
2. La maggior parte delle case di cura e persino degli hospice iniettano ai propri pazienti il vaccino Covid e un aumento significativo dei decessi è stato notato in queste strutture degli Stati Uniti centrali dove lavora il medico legale, ma anche in molte altre aree del paese.
3. Questo medico legale ha contattato 15-20 famiglie che avevano perso una persona cara. Alcuni casi riguardavano suicidio apparente o specifiche cause di morte che non suggeriscono che il Covid abbia avuto un ruolo. Tuttavia, alcuni casi sono stati molto rivelatori e quindi il medico legale ha chiesto se avevano ricevuto la vaccinazione Covid e in che giorno.
Tre persone, di età compresa tra i 30 ei 50 anni, avevano tutte ricevuto il vaccino entro poche settimane dalla morte, con una persona che soffriva molto subito dopo l’iniezione.
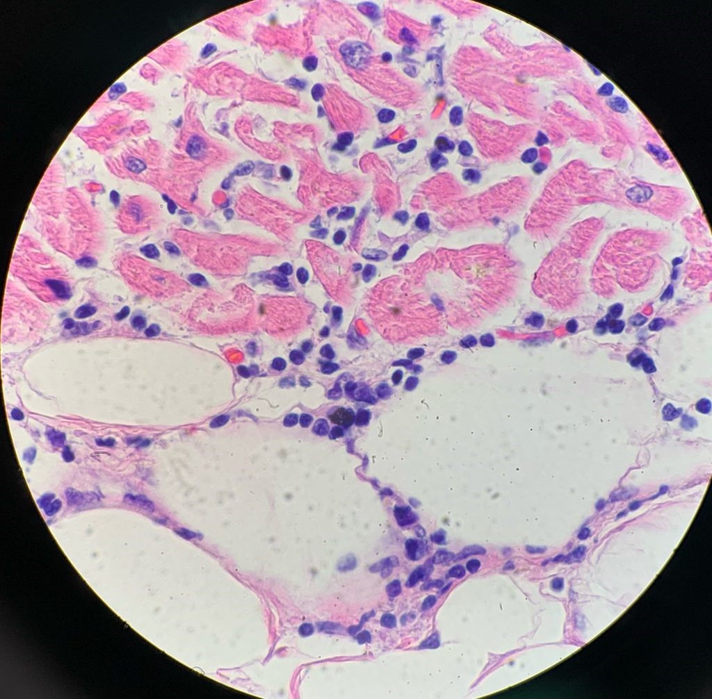
Per illustrare un caso: questo individuo aveva sviluppato una miocardite/pericardite lieve. Nonostante i casi di miocardite e pericardite nei bambini dopo la vaccinazione Covid, FDA e CDC insistono a vaccinare i bambini anche se non rischiano nemmeno di morire per Covid-19.
Piccola area di miocardite/pericardite. L’area rosa è il miocardio, l’area bianca è il grasso epicardico. Le cellule viola sono l’infiammazione linfocitaria.
Questo non ha ucciso questa persona altrimenti sana – è stato un attacco di cuore. È probabile che la proteina spike si sia fatta strada nel cuore e nel rivestimento dei vasi sanguigni, causando alla fine la rottura dell’arteria coronaria. Uno studio recente mostra che i “vaccini” basati su nanoparticelle lipidiche (LNP) contenenti mRNA sono altamente infiammatori e provocano un alto tasso di mortalità nei topi. Un altro studio recente mostra un aumento dei biomarcatori proteici dell’infiammazione.

Strappato e chiuso da un coagulo di sangue. Il rosa brillante al centro è il coagulo

Questa immagine mostra l’infiammazione e in particolare la mucosa endoteliale infiammata.

“Il tasso di mortalità è fino al 20% dopo 6,5 anni”.
Secondo la sua decisione dell’8 dicembre 2021, la FDA non è interessata.

Il medico legale ha fatto il suo lavoro e ha messo il “vaccino” Covid sul certificato di morte come causa della morte. Ma la domanda è: quanti altri coroner stanno facendo il loro lavoro? Quanti altri investigatori si rifiutano di fare il loro lavoro? Esiste una sorta di tracciamento dei decessi per vaccinazione Covid? Perché sembra che il nostro governo e altri funzionari della “salute” stiano facendo tutto il possibile per nascondere queste informazioni e coloro che dovrebbero documentarlo hanno troppa paura per farlo.
“I fatti sono devastanti. Tutti i vaccini a base genetica, indipendentemente dal produttore, hanno dato lo stesso risultato. Nel 90% degli organi di queste persone ha trovato prove evidenti di auto-attacco autoimmune da parte dei linfociti killer sul tessuto. I principali sono il cuore, i polmoni, poi altri tessuti come il fegato ecc. Questi vaccini uccidono i giovani e gli anziani.” –Dott . Bhakdi discute le prove di uno dei patologi più esperti d’Europa, il Dr. Burkhardt
A proposito di vaccini Covid: perché non possono funzionare e prove inconfutabili del loro ruolo causale nei decessi post-vaccinazione – Dott. Bhakdi e il dott. Burkhardt
video del dott Bhakdi sui risultati patologici del Dr. Burkhardt
Riassunto video del Dott. Bhakdi e il dott. Palmer sui referti dell’autopsia – Medici per l’etica Covid
Istruzioni e raccomandazioni per lo svolgimento dell’autopsia (autopsia) sul defunto in relazione alla vaccinazione Covid – Dott. Un Burkhardt
La FDA ha approvato il vaccino Covid-19 di Pfizer sapendo benissimo che le prove affrettate erano una truffa
La Covid Care Alliance canadese, un gruppo di 500 medici, scienziati e operatori sanitari canadesi indipendenti, ha creato un’incredibile presentazione basata sull’evidenza degli studi Pfizer presentati alla FDA, scomponendo tutto con precisione e grafici, mostrando la sequenza temporale del processo , che ha portato all’approvazione della FDA e alle successive statistiche. È un breve video che apre gli occhi, di facile comprensione, che deve essere visto e condiviso dal mondo intero.
I vaccini sono stati dichiarati sicuri ed efficaci al 95% 7 giorni dopo la seconda dose. Ma quel 95% era in realtà una riduzione del rischio relativo. La riduzione assoluta del rischio è stata solo dello 0,84%.

Una risorsa incredibile, forniscono un PDF completo della presentazione che chiunque può scaricare, stampare e condividere. Incoraggio tutti a portare questo a tutti i legislatori, sindaci e autorità locali, operatori sanitari, coroner, amici e familiari, scuole e imprese. Diffondi il video e il PDF in lungo e in largo sui social media, inseriscilo sul tuo sito Web e non smettere mai di parlarne.
Le vaccinazioni Pfizer fanno più male che bene
La FDA non è solo una complice, è l’attore più importante nella commissione del genocidio perché ha dato il via libera e LEI SA quello che hanno fatto. Tutti devono ritenere responsabile la FDA e fare pressione su di loro tramite posta, e-mail e telefonate fino a quando le vaccinazioni Covid non verranno interrotte del tutto. La vaccinazione Covid E i passaporti vaccinali devono essere interrotti sia per prevenire il genocidio che un sistema di riduzione in schiavitù di coloro che sono riusciti a sopravvivere.
La FDA ha approvato una terapia genica sperimentale realizzata da un’azienda che ha pagato oltre $ 10 miliardi di multe dal 2000 per mentire, violazioni della sicurezza, studi truccati, corruzione di medici, false affermazioni e uccisione di persone a causa delle loro droghe. Il pagamento delle multe e uno schiaffo sulla mano mantiene Big Pharma in attività quando qualsiasi altra azienda sarebbe stata chiusa e i proprietari in galera. Invece, la FDA vuole che tu vaccini i tuoi figli.
Pfizer ha guadagnato oltre 33,5 miliardi di dollari nel solo 2021 . Non si assumono alcuna responsabilità per le vaccinazioni Covid-19.


Sanno esattamente cosa hanno fatto, eppure il loro comunicato stampa del 3 gennaio 2022 è intitolato: “Aggiornamento sul coronavirus (COVID-19): la FDA intraprende molteplici azioni per espandere l’uso del vaccino Pfizer-BioNTech COVID-19, che include l’aggiunta di un terzo vaccino primario dose di serie per bambini immunocompromessi di età compresa tra 5 e 11” . PERCHÉ inietteresti le tossine in un bambino che è già immunocompromesso e non a rischio reale di effetti collaterali o morte per Covid?
Quante persone hanno sofferto a causa della sospensione del trattamento da parte della FDA ai pazienti Covid? Quante persone sono morte perché hanno ricevuto il micidiale remdesivir e messo un ventilatore quando non era necessario? Perché il CDC ha cambiato la definizione di “vaccino” dopo decenni? Perché la vaccinazione contro il Covid è una terapia genica che non previene né il contagio né la trasmissione e certamente non la morte, anzi.

Cosa ci dicono i dati sugli infortuni e sui decessi?
In un solo anno, il numero di decessi per il vaccino Covid ha superato di gran lunga tutti gli altri “vaccini” messi insieme, solo negli Stati Uniti, secondo il sistema VAERS del CDC.
La FDA vuole che tu creda che “gli effetti collaterali sono rari” e che questi vaccini Covid sono “sicuri ed efficaci”. Dato ciò che abbiamo appreso sopra in merito alla sottostima di eventi avversi e decessi, i numeri attuali nel sistema VAERS del CDC sono solo una frazione dei casi effettivi. Detto questo, attualmente sono segnalati più di 1,8 milioni di eventi avversi, con oltre 113.000 ricoveri correlati alla vaccinazione, oltre a 21.382 decessi per vaccinazione Covid, che è gravemente sottorappresentato. Molti scienziati e professionisti medici stimano il numero di morti nei soli Stati Uniti a più di 400.000.
L’ex scienziato senior Pfizer Dr. Mike Yeadon, ha confermato che il 90% degli effetti collaterali del vaccino proveniva da meno del 10% dei lotti, il che è stato documentato e calcolato direttamente dal VAERS del CDC e significa che i lotti non contengono gli stessi ingredienti. Questa è una solida prova di errore intenzionale e la più grande prova finora.
L’intera introduzione è una lettura obbligata per coloro che iniziano a comprendere l’agenda più ampia che viene presentata. I dettagli specifici sui diversi lotti partono da circa minuto. Questo video deve essere visto e condiviso.
Di seguito sono riportati tre grafici molto potenti che il Dr. Yeadon ha spiegato nel video sopra e che devono essere condivisi con il mondo.



Per informazioni dettagliate e grafici su lotti, statistiche e dati demografici specifici, visita HowBad.info . Se sei un operatore sanitario e hai accesso ai numeri di lotto, consulta la sezione Whistleblower. Hai l’opportunità di aiutare milioni di persone.
Perché non tutti i vaccini Covid sono stati eliminati gradualmente? Dovrebbe essere ovvio ormai. Chi paga il sostegno per coloro che hanno eventi avversi? Chi è in grado di trattare questi effetti indesiderati della terapia genica sperimentale? Chi paga il funerale del defunto e sostiene il lutto? Tutti, comprese le grandi aziende farmaceutiche, gli ospedali e gli operatori sanitari, sono esonerati da ogni responsabilità. L’unica opzione è il National Vaccine Injury Compensation Program . traduttore], condotto a porte chiuse dal nostro governo. Ad oggi sono statiPagato oltre 4,7 miliardi di dollari in richieste di risarcimento per lesioni e morte , con un totale di 8.504 premi e 11.996 richieste respinte, nessuna delle quali mostra un singolo pagamento correlato al Covid-19 poiché è un processo lungo. Tuttavia, nel 2021 sono state presentate 2.057 domande, il numero più alto dal 2003, e nel 2022 sono già state presentate 245 domande. Chiunque abbia sofferto di questi vaccini o abbia perso una persona cara a causa di loro dovrebbe presentare una petizione solo per documentarlo e registrarlo.
Secondo il database globale dell’OMS sui potenziali effetti collaterali segnalati (che esclude i decessi), ci sono quasi 3 milioni di segnalazioni, che è chiaramente “l’elenco ristretto” quando si considerano gli eventi avversi per paese.

Nel settembre 2021, ABC News ha posto una domanda su Facebook: “Hai perso una persona cara non vaccinata a causa del Covid-19 dopo che i vaccini sono diventati disponibili per tutti? Se sei disposto a condividere con noi la tua storia familiare, inviaci le tue informazioni di contatto. Potremmo contattarti per un articolo su cui stiamo lavorando.” Volendo creare un pezzo di propaganda, sono stati invece inondati di oltre 194.000 commenti da parte di persone arrabbiate che condividevano le loro storie di se stesse e dei membri della famiglia danneggiati dal cosiddetto “vaccino” e dei propri cari morti a causa del “vaccino”. . È stato uno spettacolo incredibile e determinante assistere al commento in tempo reale. Questo mostra,
Proprio la scorsa settimana, il direttore del CDC ha dichiarato che “oltre il 75% dei decessi ha almeno 4 comorbidità ” .
Il direttore del CDC ha più volte affermato che il vaccino Covid “non impedisce la trasmissione ” . Allora perché è necessario un certificato di vaccinazione? Tu sai perché.
Il giudice federale respinge la richiesta della FDA di mantenere i documenti sul vaccino Pfizer contro il Covid-19 sigillati per 75 anni
Perché la FDA dovrebbe nascondere i documenti presentati da Pfizer per l’approvazione del vaccino Covid-19 per 75 anni quando si preoccupa davvero della salute delle persone e non della protezione delle big pharma e dei globalisti?
Lo studio legale Siri & Glimstad LLP aveva chiesto alla FDA di consegnare tutti i dati presentati da Pfizer come parte di un deposito FOIA, ma la FDA ha chiesto al tribunale il permesso di dover stampare solo 500 pagine al mese, ovvero più di 75 ci sarebbero voluti anni per rilasciare tutti i documenti, molto tempo dopo che le persone avevano subito effetti collaterali e morti a causa del vaccino Pfizer.
Il 6 gennaio 2022 , il giudice federale ha ordinato alla FDA di produrre 55.000 pagine al mese, iniziando con il primo lotto di 12.000 pagine entro il 31 gennaio e producendo il primo set di 55.000 pagine a partire dal 1 marzo, e con tale tasso di produzione ogni 30 giorni , che richiede 8-9 mesi in totale. Questo è un grande risultato, ma ovviamente consente la cancellazione di qualsiasi privilegio, eccezione o esclusione come rivendicato.
Allora di cosa si tratta veramente?
In poche parole, la pandemia è progettata per imporre una terapia genica sperimentale che i CDC e la FDA chiamano “vaccino”. Questo “vaccino” serve a garantire che tutti ricevano un record di vaccinazione . Il passaporto è progettato per costringere tutti a entrare nel nuovo sistema globale di credito sociale . Questo sistema è progettato per costringere la popolazione mondiale alla piena obbedienza mentre i globalisti controllano l’ accesso e la spesa di tutti a qualsiasi cosa nella vita attraverso l’uso del nuovo sistema CBDC (valuta digitale della banca centrale) a cui stanno lavorando . E la ciliegina sulla torta per i globalisti che l’hanno orchestrata è lo spopolamento.
Il tasso di sopravvivenza di Covid-19 è del 99,98% e si basa sui decessi registrati di persone “con” Covid, non “da” Covid. Il direttore del CDC ha precedentemente affermato che il 75% di tutti i decessi correlati al Covid si è verificato in persone con almeno 4 comorbidità. Le reti ospedaliere, i coroner, le case di cura, gli hospice e gli operatori sanitari sono istruiti e intimiditi a non riferire al VAERS, a non mettere in discussione se una persona deceduta abbia recentemente ricevuto il vaccino e a non monitorare i decessi causati dal vaccino. La FDA e il CDC hanno fatto tutto quanto in loro potere per informare gli ospedali e i medici di non curare i pazienti Covid a meno che non “non riescano a respirare”. Hai rifiutato zinco, quercetina, vitamina C, vitamina D, Consiglia o prescrivi ivermectina o idrossiclorochina, che sono noti per funzionare. Sono arrivati persino a screditare brillanti scienziati e medici di Harvard, Oxford, Stanford e altri paesi, mentre allo stesso tempo hanno cercato di privare i medici dei loro mezzi di sussistenza e della licenza per esercitare la medicina. Tenendo conto di tutto ciò, chi sta davvero morendo a causa del presunto “Covid”?
Abbiamo così tante prove che questo è un genocidio – e se la gente non smette di obbedire, interi paesi crolleranno e bruceranno, e non ci sarà più niente per cui combattere oltre le ceneri.
A tutti coloro che nella scienza e nella sanità stanno combattendo per scoprire questo genocidio e stanno facendo tutto ciò che è in loro potere per fermarlo, incluso il trattamento dei pazienti, il mondo ha tutti un enorme debito di gratitudine e dovresti sapere quanto sarai apprezzato .
Se sei confuso sul motivo per cui i media continuano a diffondere dati e notizie falsi su Covid-19, questo potrebbe essere il tuo indizio:
Documenti scientifici chiave, dati e informazioni statistiche e risorse chiave:
Il picco SARS-CoV-2 altera la riparazione dei danni al DNA e inibisce la ricombinazione V(D)J in vitro – Hui Jang e Ya-Fang Mei
Perché i vaccini mRNA sono una pessima idea – Medici per l’etica Covid
Tossicità dell’mRNA e l’agenda politica dietro i passaporti dei vaccini – Dr. Michael Palmer e Catherine Austin Fitts
Elenco di oltre 75 atleti che sono crollati, con alcuni morti, negli ultimi 5 mesi – sito di notizie tedesco
21 Morti improvvise di membri della Federcalcio internazionale, quando la media tra il 2000 e il 2020 era solo di 4,2 – Sito di notizie israeliano
La prospettiva globale sui certificati di vaccinazione e dove sta andando tutto (serie in 4 parti) – Corey’s Digs
22 modi per fermare gli abbonamenti vaccinali nel 2022 e perché ne abbiamo bisogno! –
Corey’s Digs
Risorse Covid: medico, legale, modulistica, bacheche di lavoro e altre informazioni critiche – Corey’s Digs
Covid-19 Real Data, Hidden Data e Fear is The Real Killer (serie in 5 parti) – Corey’s Digs
FONTE: CORRUZIONE PFIZER/FDA, LOTTI LETALI E AUTOPSIE RIVELANO IL GENOCIDIO JAB COVID-19
Vedi anche :
Aritmie degli atleti Vaccinati – La Quinta Columna – Dott. Ricardo Delgado
La Quinta Columna 1-On-1: Spanish Researcher First to Reveal Graphene Oxide – Dr. Pablo Campra Madrid – Dott. Ricardo Delgado
🔴 Unisciti al canale telegram La Verita occultata: https://t.me/+jxqu0E7tqxBhNDk0 🔴

